| |
|
|
| |
 |
| |
| 23. September 2025 - |
Der G-Wurf ist im Landeanflug ...
So langsam wird es spannend, Mia wird runder und spielt seit Wochen nicht mehr mit Bruni. Ihr geht es prima und wir machen noch große Spaziergänge, aber sie ist extrem liebesbedürftig, kuschelt und schmust am liebsten den ganzen Tag mit mir. Am Schönsten findet sie es, wenn man ihre süße Babyplauze streichelt.
Mias Zitzen haben sich längst aufgestellt und sind groß wie Traktorventile. Milch hat sie noch keine, diese schießt erst kurz vor der Geburt ein. Alle Organe und Gliedmaßen der Welpen sind bereits vollständig entwickelt, die Babies haben schon (noch nicht richtig dichtes) Fell und wachsen jetzt nur noch kräftig bis zur Geburt.
Ich fange an, die Wurfkiste aufzubauen, Decken und Handtücher zu waschen und alles für die Geburt vorzubereiten.
Für alle, die mit uns fiebern und besonders den Interessenten, die ein Miakind bekommen werden, wünschen wir noch ganz viel Vorfreude!
 |
|
Mias süßes Bäuchlein an Tag 44 der Trächtigkeit. |
 |
|
Tag 44 - Der gestrandete Wal |
 |
|
Tag 37 der Trächtigkeit - ich versuche den Bauch festzuhalten und die Fotobombe möchte mit auf's Foto. |
 |
|
Mia ist extrem liebesbedürftig |
Wir haben bereits genug Interessenten für diesen Wurf!
|
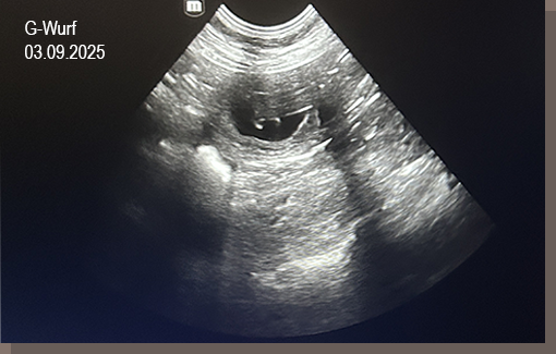
| 03. September 2025 - |
Mia & Archie
Hurra! Mia ist trächtig, der Ultraschall hat das Geheimnis gelüftet, der G-Wurf ist im Anflug.
Wir haben im Ultraschall einige Fruchtanlagen gesehen und freuen uns auf wunderschöne Mini Archies und Mini Mias in ca. 5,5 Wochen.
Hier das erste Foto:

|
| 08./09. August 2025 - |
Mia wurde am Freitag und Samstag problemlos von Archie (Dunehills X Marks the Spot) gedeckt. Die beiden haben sich super verstanden und Archie hat an Mia seine Unschuld verloren. Archie ist großartig, ein wunderschöner Rüde mit einem tollen Formwert und einem retrievertypischen Wesen und Kopf.

Wir sind unfassbar gespannt auf den Ultraschall in ca. 4 Wochen!
Falls Sie sich für einen Welpen aus unserem G-Wurf interessieren, können Sie mich wie folgt kontaktieren:

|
| 04. August 2025 - |
Mias PRCD PRA Gentest ist da! Wir haben schon heute das Ergebnis bekommen, dass Mia frei ist!
Somit können wir zu unseren Traumprinzen Archie in Belgien fahren. Archie ist ein hübscher junger Mann im zarten Alter von 14 Monaten und Mia ist seine erste große Liebe. Die Entscheidung steht!
Ein ganz herzliches Dankeschön an alle, die mich bei der Rüdenauswahl unterstützt und beraten haben!
Jetzt heißt es warten bis Mia soweit ist, dass es losgehen kann. |
| 31. Juli 2025 - |
Wir haben Mia Blut abnehmen lassen und dieses per Übernachkurier an das Labor verschickt - die Mitarbeiterin sagte, es braucht ein bis zwei Wochen, bis wir das Ergebnis haben. Mit einer Woche wäre das noch rechtzeitig, dass wir doch zu Mias Traummann nach Belgien fahren können. Spannender geht es kaum - aber, wir haben auch einen Plan B, einen freundlichen jungen Mann aus Norddeutschland.
Der Deckschein ist beantragt, der Rüde ist freigestellt, Mia hat eine Lizenz zum öhm ja, Ihr wisst schon, Personalausweis ist beantragt, kommt wahrscheinlich aber zu spät, so dass wir nun doch noch einen vorläufigen besorgen müssen, Termine beim TA sind gemacht.
|
| 30. Juli 2025 - |
Mia ist läufig - und hat damit meine ganze Planung sabotiert! Nun heißt es, noch alles mögliche zu organisieren und die finale Auswahl des Deckrüdens zu treffen. Für den Prinzen unseres Herzens fehlt uns leider noch ein PRCD PRA Gentest, den ich nicht auf dem Schirm hatte. Es wird spannend!
|
| |
 |
| |
| |
 |
|

|
|
| |
 |
|

|
|
| |
ARCHIE
Dunehills X Marks the Spot
LOSH 01390524
HD A
ED frei/frei
Augen frei
prcd-PRA: frei
GR-PRA1: frei
GR-PRA2: frei
ICT A-Gentest:frei
Belgischer Jugendsieger
|
|
|
|
Dunehills X Marks The Spot J CH |
|
|
|
Brandon de Ria Vela SPA CH |
|
|
|
Tamarack He Likes It OS SDHF BOSS BIS RBIS MBISS GCHG |
|
|
| |
|
|
| |
|
| |
|
|
| |
| |
|
|
|
| |
|
|
|
Dunehills Kind of Magic
Ger, CH VDH |
|
|
| |
|
| |
|
| |
Dunehills Penelope Pitstop |
|
|
| |
| |
|
|
|
|
|
For Good at Ulfilas of Calimero's Castle JAS |
|
|
|
Zaboú Kiss of Calimero's Castle CSm.Arb.(GRC)'22 JAS BLP |
|
|
|
O' Connor v.'t Keijsershof VDH-Ch. NL-Ch. Dt.-JCh. JS Saarl.'13 JS Rheinl.'13 |
|
|
| |
|
|
| |
|
| |
Krispy Kiss of Calimero's Castle JP/R BLP |
|
|
| |
| |
|
|
|
| |
|
Yayda of Calimero's Castle WT, JAS |
|
|
D'Artagnan of Calimero's Castle Dt. Ch.(m.Arb. GRC), Dt. VCh.(GRC), VDH Ch.,
VDH-VCh. CS (m. Arb. GRC)'12 Bester Veteran'17 (GRC) WT APD A JP/R BLP WT A |
|
|
| |
|
| |
|
| |
Only You Toffee of Calimero's Castle JP/R |
|
|
| |
| |
|
|
|
|
|
|
|
|
|
|